ใ ก
์ด์ํ System
์๋ฃ๊ธฐ๊ธฐ ์ ํต ์ ๋ฌธ๊ธฐ์ "์ก๋ฆผ๋ฉ๋์นผ"
๋ฌธ์ ๋ฐ ๊ฒฌ์ ์๋ด์ ๊ณ ๊ฐ์ผํฐ ๋๋ ๊ฒฌ์ ๋ฌธ์ ๊ฒ์ํ์ ๋จ๊ฒจ์ฃผ์ธ์.

"๋ ๋ง์ ๊ฒ์ ์ป์ ์ ์๋๋ก ๋ ๋ง์ ๊ฒ์ ๋ด์ฅํ์ต๋๋ค."
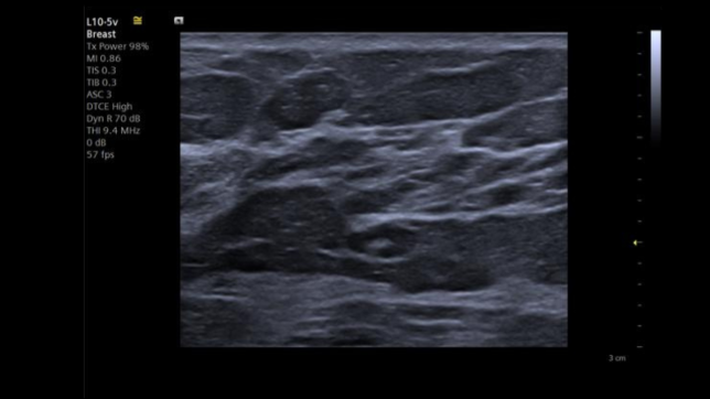
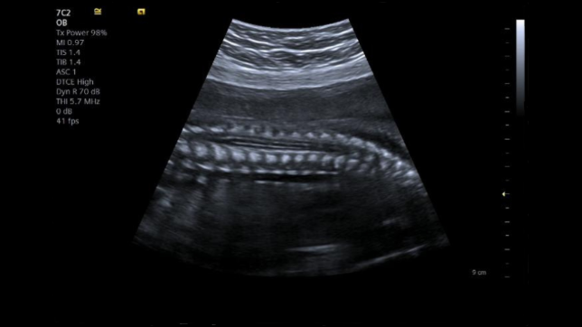
Features & Benefits๊ฐํธํ๊ฒ ์ฌ์ฉํ ์ ์๋ ์ฐ์ํ ํ์ง์ ์์
ACUSON Maple Diagnostic Ultrasound System์ ๋ค์ํ ํ์์ ๋์ํ ์ ์์ต๋๋ค. ์ง๊ด์ ์ธ ์ค๊ณ๋ก ์์คํ ๊ณผ์ ์ํธ ์์ฉ์ ์ค์ฌ ์์์ ์ ํจ์จ์ ์ผ๋ก ์ค์ฌ์ค๋๋ค. ๋๋ถ์ด, ๋ชจ๋ ํ์์๊ฒ ์ ์ฉํ ์ ์๋ ๋์ ํด์๋๋ฅผ ๊ฐ์ถ ๊ณ ํ์ง ์ด๋ฏธ์ง๋ฅผ ์ ๊ณตํฉ๋๋ค. ์ด๋ก์จ, ์ฌ์ฉ์ฑ์ ๋จ์ํํ๊ณ , ํจ์จ์ฑ๊ณผ ํ์ ์ฒ๋ฆฌ๋์ ๋์ผ ์ ์์ต๋๋ค.
eSielmage Multiparametric Optimization
๋ค์ํ ์กฐ์ง ๊ฐ์ ํน์ฑ์ ์ด์ฉํ์ฌ ๋ชจ๋ ํ์์ ์ ์ฒด ์ ํ์ ๊ฑธ์ณ ์ด๋ฏธ์ง์ ๊ท ์ผ์ฑ์ ์ ์งํ๊ฒ๋ ํ๋ ์ด๋ฏธ์ง๋ฅผ ์ ๊ณตํฉ๋๋ค.
Speed of Sound
๋ฐฐ๊ฒฝ ์์์ ์ ํํ ์ ์๋ ๊ธฐ๋ฅ์ผ๋ก ์กฐ์ง ๋ฐ๋๊ฐ ๋ค๋ฅธ ์ฌ๋ฌ ์ ํ์ ์กฐ์ง ๋๋ฌธ์ ์ด์ ๊ณผ ์ด๋ฏธ์ง ํ์ง์ด ํ๋ฆฐ ๊ฒฝ์ฐ ์ด๋ฏธ์ง์ ํด์๋๋ฅผ ๋์ด๊ธฐ ์ํด ์ฌ์ฉํฉ๋๋ค.
Technical Specifications![]() | ํด๋ผ์ฐ๋ ๊ธฐ๋ฐ ์๊ฒฉ ์๋น์ค ์๋ฃจ์ Kinectus™ ๋ ์์ ํ๊ณ ์ฌ์ฉํ๊ธฐ ์ฌ์ด ํด๋ผ์ฐ๋ ๊ธฐ๋ฐ ์๊ฒฉ ์๋น์ค ์๋ฃจ์ ์ผ๋ก, ์๋น์ค ๋น์ฉ์ ๊ฐ์ํ๊ณ ์ต์ ๋ณด์ ๋ฐ ๊ท์ ์ค์ ์ง์นจ์ ์ค์ํ๋ฉด์ ์ฐ๊ฒฐ ๋ฐ ์ํํธ์จ์ด๋ฅผ ์ต์ ์ํ๋ก ์ ์งํฉ๋๋ค. |
![]() | PepConnect๋ฅผ ํตํ ๋์งํธ ๊ต์ก PepConnect์ PepConnection1๋ฅผ ํตํด ์ํฌํ๋ก์ฐ์ ์ด์ฉ ์ง์์ ์ต๋ํ ์ ์์ต๋๋ค. PepConnect๋ฅผ ํตํด ์ธ์ ์ด๋ค ์ฅ์น์์๋ ํ์ต ํ๋์ ์ฐธ์ฌํ์ฌ ๋ง์ถคํ ํ์ต ๊ฒฝํ์ ๋๋ฆฌ์ญ์์ค. PepConnection์ ๊ตฌ๋ ํ์ฌ ์ธ๋ ฅ ๊ต์ก ๊ด๋ฆฌ ๊ณํ๊ณผ ๋ถ์ ๋ฐ ์งํ ๋ณด๊ณ ์๋ฅผ ์ถ์ ํ ์ ์์ต๋๋ค. |

| ์ด์ ํธ ์ด์ฌ (์์
์ด๊ด) | 010-6426-7469 |
| ์ดํ๊ฒฝ ์ด์ฌ(๋๊ตฌ,๊ฒฝ๋ถ) | 010-9883-4992 |
| ๊น์ฐฝ์ ์ฐจ์ฅ(๋์ ,์ถฉ์ฒญ,๊ฒฝ๊ธฐ) | 010-4473-5370 |
| ์ด์งํ ๊ณผ์ฅ (์์ธ,๊ฒฝ๊ธฐ) | 010-9961-0970 |
| ์กฐ๋ฏผ์ ๊ณผ์ฅ (์์ธ,๊ฒฝ๊ธฐ) | 010-9311-0462 |
๊น์ฌํธ ๋๋ฆฌ(๋์ ,์ถฉ์ฒญ) | 010-8844-6160 |
| ์ด์ข
ํ ์ฃผ์(๋์ ,์ถฉ์ฒญ) | 010-9672-9813 |
์ด์ ํธ ์ด์ฌ (์์ ์ด๊ด)
010-6426-7469
์กฐ๋ฏผ์ ๊ณผ์ฅ (์์ธ,๊ฒฝ๊ธฐ)
010-9311-0462
์ดํ๊ฒฝ ์ด์ฌ (๋๊ตฌ,๊ฒฝ๋ถ)
010-9883-4992
๊น์ฌํธ ๋๋ฆฌ(๋์ ,์ถฉ์ฒญ)
010-8844-6160
๊น์ฐฝ์ ์ฐจ์ฅ (๋์ ,์ถฉ์ฒญ,๊ฒฝ๊ธฐ)
010-4473-5370
์ด์ข ํ ์ฃผ์(๋์ ,์ถฉ์ฒญ)
010-9672-9813
์ด์งํ ๊ณผ์ฅ (์์ธ, ๊ฒฝ๊ธฐ)
010-9961-0970